facebook
twitter
Youtube
Ammon on Apple Store
Ammon on Play Store
مواعيد الطيران
مواعيد الصلاة
rss
  • اخر التحديثات
  • الأكثر مشاهدة




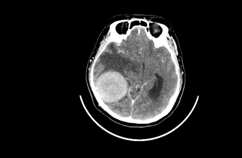
دراسة صادمة .. القلق والدوار يرتبطان بأورام الدماغ!


08-10-2025 02:49 PM

عمون - توصلت دراسة حديثة إلى وجود علاقة بين القلق والدوخة من جهة، والأورام الدماغية الحميدة من جهة أخرى.

وكشفت النتائج أن القلق النفسي لا يعد مجرد عارض مرافق لهذه الأورام، بل قد يكون عاملا مسببا ومفاقما للأعراض.

ويرتبط الورم الشفاني الدهليزي، أو كما يعرف أيضا باسم ورم العصب السمعي (وهو ورم حميد يصيب العصب المسؤول عن السمع والتوازن وينمو ببطء)، عادة بأعراض مثل فقدان السمع والطنين والدوار. لكن الدراسة الجديدة تكشف أن للعوامل النفسية دورا محوريا في شدة هذه الأعراض.

وقد أظهرت الدراسة التي أجراها باحثون من جامعة واشنطن أن المرضى الذين يعانون من القلق النفسي يسجلون مستويات أعلى من الإعاقة المرتبطة بالدوار بنسبة تصل إلى 14 نقطة في المقياس المعياري للإعاقة، مقارنة بمن لا يعانون من القلق.

وهذه النتائج تثير تساؤلات عميقة حول الطبيعة المعقدة للعلاقة بين الصحة النفسية والأمراض العضوية. فالتفاعل بين القلق وأعراض الورم يخلق حلقة مفرغة، حيث يؤدي القلق إلى تفاقم الدوار، والذي بدوره يزيد من حدة القلق، ما يضع المريض في دوامة من المعاناة المتزايدة.

واللافت في هذه الدراسة أنها سلطت الضوء على جانب مهمل في التشخيص الطبي، حيث غالبا ما يغفل الأطباء تقييم شكاوى الدوار عند الاشتباه بالأورام الدماغية. كما أظهرت النتائج مفارقة عجيبة، حيث وجد الباحثون أن المرضى الذين يعانون من فقدان السمع - وهو عارض رئيسي للورم - كانوا أقل تأثرا بالدوار في حياتهم اليومية مقارنة بمن حافظوا على سمعهم.

وهذه الاكتشافات تفتح الباب أمام مقاربات علاجية جديدة، حيث يقترح الباحثون إدراج التدخلات النفسية مثل تقنيات اليقظة الذهنية وإدارة الضغط النفسي كجزء أساسي من خطة العلاج. كما تؤكد الدراسة على أهمية النظرة الشمولية للمريض، التي تراعي التداخل المعقد بين العوامل النفسية والجسدية في تشكيل التجربة المرضية.

وفي الوقت الذي ما تزال فيه الأسباب المباشرة لهذه الأورام غامضة في معظم الحالات، فإن هذه الدراسة تذكرنا بأن التعامل مع الأمراض يتطلب فهما أعمق للبعد الإنساني، حيث تتفاعل الجوانب النفسية والاجتماعية مع العوامل البيولوجية في تشكيل مسار المرض ومعاناة المريض.



ديلي ميل





  • لا يوجد تعليقات

تنويه
تتم مراجعة كافة التعليقات ،وتنشر في حال الموافقة عليها فقط.
ويحتفظ موقع وكالة عمون الاخبارية بحق حذف أي تعليق في أي وقت ،ولأي سبب كان،ولن ينشر أي تعليق يتضمن اساءة أوخروجا عن الموضوع المطروح ،او ان يتضمن اسماء اية شخصيات او يتناول اثارة للنعرات الطائفية والمذهبية او العنصرية آملين التقيد بمستوى راقي بالتعليقات حيث انها تعبر عن مدى تقدم وثقافة زوار موقع وكالة عمون الاخبارية علما ان التعليقات تعبر عن أصحابها فقط .
الاسم : *
البريد الالكتروني :
اظهار البريد الالكتروني
التعليق : *
بقي لك 500 حرف
رمز التحقق : تحديث الرمز
أكتب الرمز :