facebook
twitter
Youtube
Ammon on Apple Store
Ammon on Play Store
مواعيد الطيران
مواعيد الصلاة
rss
  • اخر التحديثات
  • الأكثر مشاهدة




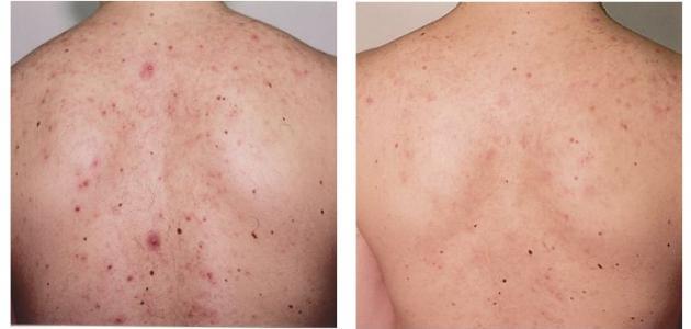
سبب ظهور الحبوب في الجسم


01-06-2023 11:43 AM

عمون - ظهور الحبوب على الجسم هو مشكلة شائعة تحدث في مرحلة الشباب أو المراهقة بسبب التغيرات الهرمونية في الجسم. بعض الأشخاص يعانون من اختفاء الحبوب بسرعة، في حين يستمر ظهورها عند آخرين حتى مراحل عمرية متقدمة. قد تكون الحبوب مزعجة وتؤثر على مظهر الشخص وثقته بنفسه. هناك عدة أسباب لظهور الحبوب على الجسم، مثل البثور الدهنية ذات الرؤوس البيضاء والسوداء، البكتيريا، الإفرازات الفطرية والصديديّة.

من بين الأسباب المحتملة لظهور الحبوب في الجسم تشمل:

الجراثيم والميكروبات: وجود الجراثيم والميكروبات على سطح الجلد يؤدي إلى إفراز الأنزيمات التي تسبب تجمع الدهون تحت الجلد وبالتالي ظهور الحبوب.

الدورة الشهرية: يمكن أن يزداد ظهور الحبوب على جسم المرأة خلال فترة الحيض بسبب اضطرابات الهرمونات في الجسم.

الإمساك: يمكن أن يزيد الإمساك من احتمال ظهور الحبوب، خاصة في مناطق مثل الظهر والوجه.

تناول المأكولات السكرية: يمكن أن يزيد تناول السكريات من احتمال ظهور الحبوب في أنحاء مختلفة من الجسم.

التعرق: زيادة التعرق خلال فصل الصيف، على وجه الخصوص، يمكن أن يسد مسام البشرة ويؤدي إلى ظهور الحبوب.

العبث بالبثور: قد يزيد العبث بالبثور عن طريق عصرها أو حكها أو قشطها باستمرار من احتمال ظهورها والتهابها.

مستحضرات التجميل: بعض مستحضرات التجميل يمكن أن تعوق تنفس البشرة وتحبس الدهون داخلها، مما يزيد من احتمال ظهور الحبوب على الجسم والوجه.

اختلال توازن البشرة: استخدام الصابون بكثرة يمكن أن يؤدي إلى تدمير الغشاء المائي الدهني الضروري لتوازن البشرة ويزيد من احتمال ظهور الحبوب. لذا، يجب اختيار منظف مناسب لنوع البشرة.

لتجنب ظهور الحبوب على الجسم، يمكن اتباع بعض النصائح مثل:

تجنب الأماكن التي تحتوي على ملوثات وجراثيم وتنظيف الجسم جيدًا.
اختيار منتجات العناية بالبشرة المناسبة والتي لا تسبب اختلالًا في توازن البشرة.
التقشير المنتظم للجسم للتخلص من خلايا الجلد الميتة وتنظيف المسام.
تجنب تناول السكريات بكثرة واتباع نظام غذائي متوازن.
الحفاظ على جفاف الجلد وتجفيف الجسم جيدًا بعد الاستحمام.
ارتداء الملابس القطنية التي تسمح للبشرة بالتنفس.
تجنب العبث بالبثور وعدم عصرها أو حكها باستمرار.

يجب مراجعة الطبيب إذا استمر ظهور الحبوب بشكل مستمر ومزعج للحصول على التشخيص الصحيح والعلاج المناسب.





  • لا يوجد تعليقات

تنويه
تتم مراجعة كافة التعليقات ،وتنشر في حال الموافقة عليها فقط.
ويحتفظ موقع وكالة عمون الاخبارية بحق حذف أي تعليق في أي وقت ،ولأي سبب كان،ولن ينشر أي تعليق يتضمن اساءة أوخروجا عن الموضوع المطروح ،او ان يتضمن اسماء اية شخصيات او يتناول اثارة للنعرات الطائفية والمذهبية او العنصرية آملين التقيد بمستوى راقي بالتعليقات حيث انها تعبر عن مدى تقدم وثقافة زوار موقع وكالة عمون الاخبارية علما ان التعليقات تعبر عن أصحابها فقط .
الاسم : *
البريد الالكتروني :
اظهار البريد الالكتروني
التعليق : *
بقي لك 500 حرف
رمز التحقق : تحديث الرمز
أكتب الرمز :